





















maiphuong
(NLĐO)- Cục C06 khẳng định dự thảo Nghị quyết về phát triển công dân số không làm giảm hay hạn chế bất kỳ quyền và lợi ích hợp pháp nào của công dân.
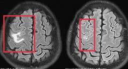
(NLĐO) - Tổn thương não do sán khiến bệnh nhân co giật, đau đầu nhẹ - triệu chứng mờ nhạt nhưng dễ bị bỏ sót.
(NLĐO)- Dưới sự chỉ đạo trực tiếp của Giám đốc Công an tỉnh Thanh Hóa, 11 tổ công tác đã đồng loạt ra quân triệt xóa đường dây ma túy liên tỉnh
(NLĐO) - Kết quả xổ số miền Bắc, xổ số miền Trung hôm nay, 23-12, được các công ty xổ sổ kiến thiết: Đắk Lắk, Quảng Nam, Quảng Ninh công bố.
(NLĐO) - Cô giáo nhéo tai học sinh lớp 1 ở Phú Quốc đã đến nhà xin lỗi nhưng không được phụ huynh chấp nhận.
(NLĐO) - Bệnh nhi là song thai, nhập viện trong tình trạng rất nặng: Bụng trướng căng gây ảnh hưởng hô hấp, phải thở máy...
(NLĐO) - Trong bối cảnh quỹ đất ngày càng hạn hẹp, TPHCM cần tiếp cận không gian công cộng theo tư duy mới, vượt ra khỏi mô hình công viên truyền thống.
(NLĐO) – Sau khi gây ra vụ tai nạn kinh hoàng khiến 2 người chết và 1 người bị thương, tài xế xe giường nằm đã đến công an ở Đồng Tháp để đầu thú
(NLĐO) - Chủ tịch UBND TPHCM chỉ đạo tăng cường kiểm tra việc chấp hành pháp luật về an toàn thực phẩm, kiểm tra đột xuất và công khai các cơ sở vi phạm
(NLĐO) - 102 người nghi ngộ độc sau ăn bánh mì; HĐND thành phố sắp họp chốt bảng giá đất mới; Công an khuyến cáo sau khi "Được Đất Bắc" sa lưới...